日本肝臓学会専門医として、
肝疾患全般を対象に適切な診断と治療を行います。
岡山大学病院などでの肝臓専門医としての診療経験を生かし、
肝疾患全般の早期診断、早期治療に努めます。
肝臓がんなどの高度医療、入院加療が必要な場合には、
信頼できる連携病院に速やかにご紹介します。
当院はウイルス性肝炎や肝癌はもちろんのこと、
自己免疫性肝疾患(自己免疫性肝炎、原発性胆汁性胆管炎など)という比較的稀な肝疾患にも豊富な経験があります。
健診で肝機能異常を指摘された方、肝障害の原因が
分からない方はぜひご相談ください。
対応疾患脂肪肝 / 非アルコール性脂肪肝炎 (NASH) / B型慢性肝炎 / C型慢性肝炎 / 自己免疫性肝炎 / 原発性胆汁性胆管炎 / 肝臓癌
様々な肝臓病と治療
肝臓は「沈黙の臓器」と呼ばれ、異常が起こっても自覚症状がなかなかでない臓器です。そのため、健康診断などで偶然、肝機能異常を指摘されることが珍しくありません。診断に際しては、これまでにかかった病気、家族に肝臓病の人がいないか、輸血歴があるか、どんな薬や健康食品を使っているかなどを確認します。
血液検査では肝臓病の原因や重症度を検査します。されに腹部エコーでは肝臓の形態や腫瘍の有無などを調べます。これらによって肝臓病の原因を精査して説明します。
- 脂肪肝
- 食べ過ぎによる肥満や飲酒が原因になることが多く、生活習慣の改善が重要です。以前は脂肪肝だけでは肝硬変にはならないと考えられていましたが、最近では非アルコール性脂肪肝炎(NASH)といって、お酒も飲まないのに脂肪肝から肝硬変になる場合があることが知られているので注意が必要です。
- C型慢性肝炎
- C型肝炎ウイルス(HCV)によって発症します。放置すると慢性肝炎を経て、肝硬変→肝癌へと移行していきます。昔はインターフェロンという注射薬で治療していましたが、最近では内服薬を2−3ヶ月服用すればほぼ100%の治癒が望めるようになりました。ほとんど副作用もでないため、今やC型肝炎は怖い病気ではなくなりました!
-
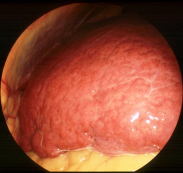
C型慢性肝炎とはC型肝炎ウイルスの感染が原因でおこる疾患です。C型肝炎ウイルスの感染からおおむね30年程度で徐々に慢性肝炎から肝硬変へと進行していきます。下の写真はおなかの中にいれたカメラ(腹腔鏡)で肝硬変に進行していく様子を見たものです。肝硬変になると表面がでこぼこになる様子が分かります。肝硬変になっても よほど進行しないと自覚症状はでませんが、年間約8%の確率で肝臓がんが発生しますので十分な注意が必要です。
- B型慢性肝炎
- B型肝炎ウイルス(HBV)によって発症します。B型肝炎は様々な状態の患者さんがおられます。ウイルスが体内でおとなしくしていて肝機能異常がない方、ウイルスが大量にいて肝機能異常が起こっている方などです。状態によって治療の必要性は異なりますので、専門医にご相談ください。特に「昔、B型肝炎だと言われた事があるけれど、症状もないし、健診では肝機能異常も指摘されないので大丈夫」と思っておられる方は要注意です。
-
ここでは過去にB型肝炎と言われた事のある方のために、B型肝炎の経過とどういった点に注意するべきかを説明します。まずは下図を見てください。これがB型肝炎の一般的な経過です。この図の中のどの状態かによって適切な治療・検査を検討します。
状態ア: 無症候性キャリア(HBe抗原陽性)
B型肝炎ウイルス(以下、HBV)は多くの場合、母子感染です。出産時や乳幼児期にHBV感染した方のうち、90%以上の方はHBe抗原陽性の無症候性キャリア(状態ア)となります。キャリアとは体内に持続的にウイルスが潜んでいる状態を言います。この状態の方はウイルス量が多く、現在は肝機能が正常であっても、急激に肝炎を起こす可能性を秘めている状態です。また性交渉などでパートナーにうつす危険も高いと言えます。
状態イ: 無症候性キャリア(HBe抗原陰性)
状態アのうち90%の方は経過中にHBe抗原が陰性となります。これをセロコンバージョンといい、HBVの増殖能力が弱くなって、ウイルスが体内で抑え込まれている状態です。 昔はこの状態を「臨床的治癒」と言って、医師が「治ったのでもう病院に来なくてよいですよ」と指導していた時代がありました。今ではこれは間違いだと考えられています。いったん状態イになっても、ウイルスが再増殖して(変異ウイルスの出現)、慢性肝炎の状態に戻ったり、肝がんが発生することがあるからです。通常、この状態では治療は不要ですが、半年〜1年に一度は採血、腹部エコーなどが必要です。
状態ウ: 慢性肝炎
肝機能(AST,ALT)が変動している状態です。肝臓はダメージを受け続けて、肝硬変へと徐々に進行します。ウイルスの増殖を抑える薬(核酸アナログ製剤)や肝庇護療法によって適切な治療をしなければなりません。肝がんの発生にも注意が必要です。
状態エ: 肝硬変
慢性肝炎が進行すると肝硬変になります。肝臓は沈黙の臓器であり、肝硬変になっても症状はありません。肝がんを防ぐために、自覚症状がなくても適切な検査、治療を受けてください。
- 自己免疫性肝炎、原発性胆汁性胆管炎
- これらは免疫バランスの崩れで起こる病気で、自己免疫性肝疾患と呼ばれます。比較的まれな病気ですが、これらも知らずに放置すると肝硬変になることがありますので、早期発見が重要です。


